[小滝橋動物病院]
東京都新宿区の動物病院
新宿区 大久保・下落合・高田馬場
日曜日も診療・駐車場完備

[小滝橋動物病院]東京都新宿区の動物病院
新宿区 大久保・下落合・高田馬場
日曜日も診療・駐車場完備

CASES 症例紹介
ここでは特徴的な症例について、一部をご紹介いたします。
※手術の写真を掲載しておりますので、苦手な方はご注意ください。
小滝橋動物病院グループ全体の外科症例件数については、>こちらをご参照ください。

犬の成長板骨折

成長板とは、若齢の動物が持っている骨幹と骨端の間に存在する軟骨を指します。
この部分が骨の長さを成長させる役割を担っていますが、他の骨と比較して衝撃に弱く、若い動物では脱臼や靭帯損傷よりも成長板骨折が生じやすいとされています。
成長板の骨折をそのままにしておくと、骨の成長の妨げとなり、骨の変形や短縮が生じる可能性もあります。
成長板骨折はSalter-Harris分類という分類方法により、下のようにⅠ〜Ⅴ型に分類されます。
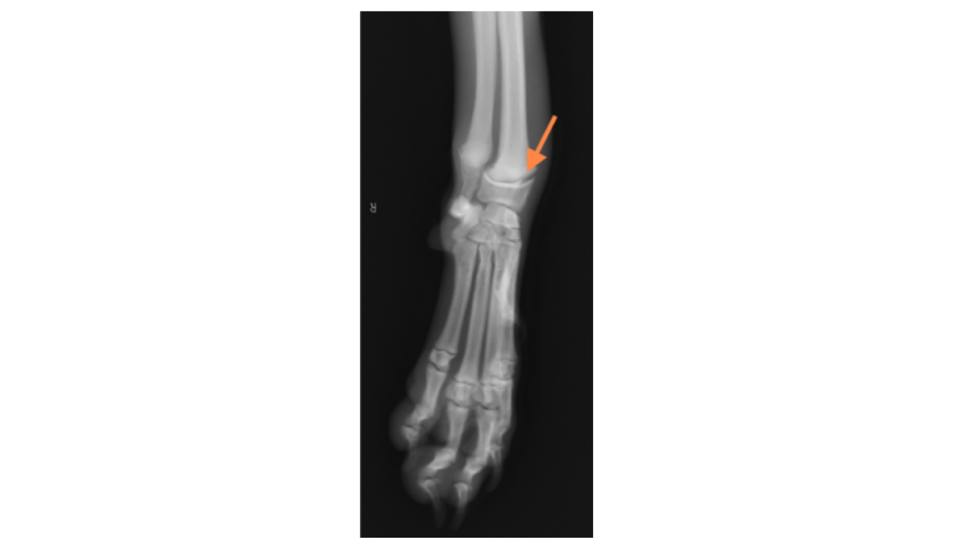
今回の症例は4ヶ月齢の柴犬で、ドッグランで遊んでいたところ、突然右前肢を上げるようになったとのことでした。
レントゲン検査を行ったところ、右手根骨のⅠ型成長板骨折が認められました。
→の部分が骨折部位になります。
この画像の曲線が、正常な成長板です。下の画像と比較してみると、わかりにくいですが骨折線が認められます。
成長板骨折は1方向だけのレントゲン画像では診断が難しいため、必ず2方向(横、正面)からの撮影を行います。
仔犬の成長板骨折は固く固定してしまうと、骨の成長を妨げてしまう為、ピンやスクリューを使った固定方法が一般的です。
骨折の型によって治療の方法は異なっており、今回はⅠ型の成長板骨折のため、2本のピンを使って手術を行いました。
手術を行って約1ヶ月半後に、2本のピンは抜去しました。
現在、術後半年ほどですが、元気にドッグランで走り回っているそうです。
仔犬の時期は活発に遊び回る子も多く、怪我もしやすいと思いますので、遊んでいる最中も注意して見てあげるようにしてください。