[小滝橋動物病院]
東京都新宿区の動物病院
新宿区 大久保・下落合・高田馬場
日曜日も診療・駐車場完備

[小滝橋動物病院]東京都新宿区の動物病院
新宿区 大久保・下落合・高田馬場
日曜日も診療・駐車場完備

CASES 症例紹介
ここでは特徴的な症例について、一部をご紹介いたします。
※手術の写真を掲載しておりますので、苦手な方はご注意ください。
小滝橋動物病院グループ全体の外科症例件数については、>こちらをご参照ください。

犬の肺原発腫瘍 (肺葉切除術)

獣医師の齊藤です。
犬の肺原発腫瘍を疑い、手術を行なった症例を紹介します。

一般的に犬の肺原発腫瘍は、末期にならなければ咳などの臨床症状が出ないことが多いです。
そのため、健康診断などのレントゲン検査などで発見されることも少なくないです。

診断をつける為には超音波ガイド下での経皮的針生検を行い、細胞診検査が必要になります。
細胞診検査により腫瘍が強く疑われた場合、開胸下での確定診断・治療を目的とした肺葉切除術を行う場合があります。
また、経皮的針生検と同時に腫瘍の発生部位の特定・浸潤の程度の把握、他臓器への転移を確認する事を目的としたCT撮影検査を行うこともあります。

本症例は、10歳去勢オスのトイプードルです。
レントゲン検査により偶発的に腫瘤を確認しました。
また、この時に咳などの呼吸器症状は認めていません。
レントゲン検査所見より肺腫瘤を疑い、CT撮影検査と超音波ガイド下での経皮的針生検を麻酔下で同時に行ないました。
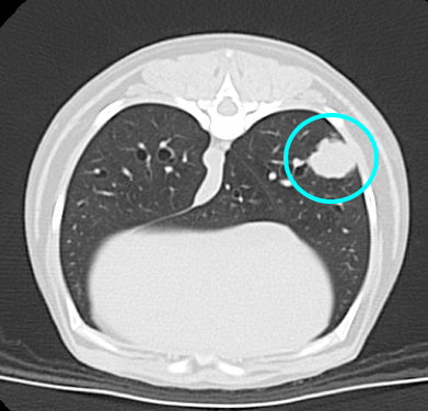
CT撮影検査では右肺後葉に長径1.5~2.0cm程度の腫瘤性病変が確認され、細胞診検査により上皮系悪性腫瘍が疑われました。
その為、開胸下での肺葉切除術を行いました。
術式は第6-7肋間開胸アプローチしました。
画像中央肺野に腫瘤が確認されます。
肺門部の血管と気管支を絹糸で結紮し、摘出しました。
病理組織学的検査の結果は肺腺癌でした。
腫瘍は切除されており、マージン部や脈管内に腫瘍細胞は認められませんでした。
現在は退院し、呼吸器症状も出ていませんが念の為定期的な検診を行なっていく予定です。
犬の肺腺癌は人と比較し稀な病気です。
孤立性でリンパ節転移がなく、病理組織学的に分化している肺腺癌では予後は比較的良好とされています。
本症例では診断時に症状がなく、レントゲン検査にて偶発的に発見しました。
早期に病気を見つけ、早期に治療を行うことは救命率の上昇に寄与すると考えます。
身体検査や血液検査のみではなく、画像検査を含めた定期的な健康診断、検診が重要だと考えます。